Kinh nghiệm lựa chọn loại vật liệu răng sứ bền đẹp
Views: 139
Trong lĩnh vực nha khoa, vật liệu răng sứ ngày càng trở nên phổ biến và quan trọng, không chỉ vì tính thẩm mỹ mà còn nhờ vào độ bền và khả năng đáp ứng yêu cầu của bệnh nhân. Răng sứ không chỉ giúp khôi phục lại hình dáng và chức năng của răng mà còn mang đến sự tự tin cho người sử dụng. Bài viết này sẽ giúp bạn hiểu rõ hơn về các loại vật liệu răng sứ hiện đại và cách lựa chọn sản phẩm phù hợp cho mình.
Vật liệu răng sứ là gì?
Vật liệu răng sứ là những chất liệu được sử dụng trong nha khoa để chế tạo các răng giả hoặc phục hồi răng thật bị mất. Chúng có thể được làm từ kim loại, sứ hoặc các hợp chất khác nhằm tái tạo lại chức năng và thẩm mỹ cho răng. Với sự phát triển của công nghệ nha khoa, các vật liệu răng sứ ngày nay không chỉ đảm bảo sự bền vững mà còn mang lại tính thẩm mỹ rất cao, khó phân biệt với răng thật.

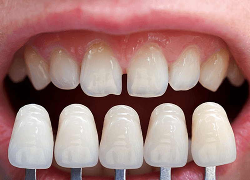
Một số loại vật liệu răng sứ phổ biến hiện nay bao gồm sứ kim loại, sứ không kim loại (zirconia), và sứ nguyên chất. Việc lựa chọn vật liệu phù hợp phụ thuộc vào vị trí phục hình, yêu cầu thẩm mỹ và đặc điểm cơ thể của từng bệnh nhân.
Các loại vật liệu răng sứ phổ biến
Trong ngành nha khoa, có rất nhiều loại vật liệu răng sứ được sử dụng để phục hồi răng miệng, mỗi loại đều có ưu điểm riêng biệt. Các loại vật liệu chính bao gồm:
- Răng sứ kim loại: Đây là loại vật liệu đã được sử dụng từ lâu, bao gồm sứ phủ kim loại và toàn bộ răng làm bằng kim loại. Loại này có độ bền cao nhưng lại thiếu tính thẩm mỹ vì lớp kim loại không thể làm giả giống với màu sắc của răng thật.
- Răng sứ không kim loại: Được sử dụng rộng rãi hiện nay, vật liệu này bao gồm các loại như Katana Zirconia, sứ lithium disilicate, giúp tạo ra các răng sứ có độ bền cao, thẩm mỹ tuyệt vời và khả năng truyền sáng như răng thật. Với Katana Zirconia, bạn có thể an tâm về độ bền và khả năng chống mài mòn trong nhiều năm.
- Sứ nguyên chất: Loại sứ này không chứa kim loại, đảm bảo tính thẩm mỹ cao và thường được sử dụng cho các răng cửa hoặc vùng dễ nhìn thấy trong khoang miệng. Tuy nhiên, loại sứ này không bền như các vật liệu răng sứ khác.
- Răng sứ phối hợp kim loại và sứ: Các vật liệu này là sự kết hợp giữa kim loại và sứ, giúp đảm bảo độ bền và tính thẩm mỹ cho các răng phục hình.
Katana zirconia – vật liệu sứ tiên tiến
Katana Zirconia là một trong những vật liệu răng sứ nổi bật trong ngành nha khoa hiện đại. Zirconia, một loại oxit kim loại cứng, được biết đến với độ bền và khả năng chịu lực cực tốt. Katana Zirconia là dòng sản phẩm cao cấp, được ứng dụng trong việc phục hồi răng toàn phần hoặc răng chóp.

Với công nghệ chế tác tiên tiến, Katana mang đến những ưu điểm vượt trội, chẳng hạn như khả năng chống mài mòn, chịu lực tốt và đặc biệt là tính thẩm mỹ hoàn hảo, giúp răng sứ trông tự nhiên và gần giống với răng thật. Bên cạnh đó, vật liệu này còn giúp người sử dụng giảm thiểu khả năng bị kích ứng hoặc dị ứng, vì nó hoàn toàn không chứa các kim loại có hại.
Xem thêm: Dán sứ Veneer – Giải pháp thẩm mỹ răng miệng và lưu ý quan trọng
Panavia v5 – keo dán sứ chất lượng cao
Khi phục hồi răng sứ, không thể thiếu chất liệu keo dán sứ, bởi đây là yếu tố quyết định đến sự bền vững và khả năng kết nối giữa răng thật và răng sứ. Panavia V5 là một trong những sản phẩm keo dán sứ được các chuyên gia nha khoa khuyên dùng nhờ vào đặc tính bám dính mạnh mẽ và tính ổn định cao.
Keo dán PanaviaV5 có khả năng kết dính tuyệt vời với các loại vật liệu răng sứ như Katana Zirconia, giúp bảo vệ răng sứ khỏi hiện tượng bong tróc hoặc gãy vỡ trong quá trình sử dụng. Ngoài ra, sản phẩm này còn giúp ngăn ngừa sự phát triển của vi khuẩn dưới răng sứ, từ đó giảm thiểu nguy cơ viêm nhiễm và bảo vệ sức khỏe răng miệng lâu dài.
Ưu điểm của vật liệu răng sứ
Răng sứ mang lại nhiều ưu điểm đáng kể cho người sử dụng, đặc biệt là trong các trường hợp phục hình thẩm mỹ và chức năng răng miệng. Dưới đây là một số lợi ích nổi bật của vật liệu răng sứ:

- Tính thẩm mỹ cao: Với công nghệ sản xuất hiện đại, các vật liệu răng sứ hiện nay có màu sắc giống như răng thật, giúp bệnh nhân tự tin hơn trong giao tiếp. Katana Zirconia là một ví dụ điển hình, mang đến vẻ ngoài tự nhiên, sáng bóng cho hàm răng.
- Độ bền cao: Các vật liệu như zirconia có độ bền vượt trội, giúp phục hình răng tồn tại lâu dài mà không gặp phải các vấn đề như sứt mẻ hay gãy vỡ, đặc biệt khi kết hợp với keo dán chất lượng như Panavia V5.
- Khả năng chống mài mòn: Răng sứ có khả năng chịu được lực nhai mạnh, giúp bảo vệ các răng thật còn lại khỏi các tác động từ việc ăn nhai hằng ngày.
- An toàn cho sức khỏe: Răng sứ không chứa các kim loại có hại như niken hay crom, do đó rất an toàn cho những người có cơ địa dị ứng với kim loại.
Lựa chọn vật liệu răng sứ phù hợp
Khi chọn vật liệu răng sứ, bệnh nhân cần cân nhắc một số yếu tố như vị trí phục hình, yêu cầu thẩm mỹ, độ bền và khả năng chịu lực. Các răng cửa yêu cầu vật liệu có tính thẩm mỹ cao, trong khi các răng hàm có thể sử dụng vật liệu bền hơn như Katana Zirconia để đảm bảo chức năng nhai.
Bên cạnh đó, việc lựa chọn các sản phẩm keo dán như Panavia V5 cũng rất quan trọng, bởi chúng giúp bảo vệ răng sứ khỏi sự bong tróc và nâng cao độ bền của phục hình.Vật liệu răng sứ ngày càng trở nên đa dạng và tiên tiến, giúp đáp ứng nhu cầu phục hình răng miệng cho bệnh nhân với nhiều yêu cầu khác nhau. Katana Zirconia và Panavia V5 là hai sản phẩm đáng chú ý trong lĩnh vực nha khoa hiện đại, giúp đem lại cho người sử dụng những răng sứ có độ bền cao và tính thẩm mỹ tuyệt vời.
